맨위로가기

당뇨병성 망막병증

"오늘의AI위키"는 AI 기술로 일관성 있고 체계적인 최신 지식을 제공하는 혁신 플랫폼입니다.
"오늘의AI위키"의 AI를 통해 더욱 풍부하고 폭넓은 지식 경험을 누리세요.

1. 개요

당뇨병성 망막병증은 당뇨병으로 인해 망막의 혈관이 손상되어 발생하는 질환이다. 초기에는 증상이 없지만, 진행되면서 망막 혈관의 미세동맥류, 출혈, 황반부종 등이 나타나 시력 저하를 유발한다. 원인으로는 장기간의 고혈당이 있으며, 당뇨병 유병 기간, 혈당 조절 실패, 고혈압 등이 위험 인자로 작용한다. 진단은 망막 검사를 통해 이루어지며, 심각도에 따라 여러 단계로 분류된다. 치료에는 혈당, 혈압, 콜레스테롤 조절과 함께 레이저 광응고술, 항혈관내피성장인자 주사, 유리체 절제술 등이 사용된다. 전 세계적으로 당뇨병 환자의 약 35%가 당뇨병성 망막병증을 앓고 있으며, 시력 상실의 주요 원인 중 하나이다.

더 읽어볼만한 페이지

  • 맥락막 및 망막 장애 - 망막색소변성증
    망막색소변성증은 망막 광수용체 세포 손상으로 시력 저하를 일으키는 유전 질환으로, 야맹증, 시야 감소, 특징적인 안저 소견을 보이며 현재 완치법은 없으나 다양한 치료법이 연구 중이다.
  • 맥락막 및 망막 장애 - 황반변성
    황반변성은 망막의 황반에 변성이 생겨 시력 저하를 유발하는 질환으로, 노화, 유전적 요인, 흡연 등이 원인이며, 초기, 중기, 후기로 나뉘고, 시력 검사, 안저 촬영 등으로 진단하며, 단계에 따라 식이 보충제, 약물, 주사, 레이저 치료 등을 시행한다.
  • 실명 - 야맹증
    야맹증은 어두운 곳에서 시력 저하를 보이는 증상으로, 유전 질환, 비타민 A 결핍, 망막 질환, 약물 복용 등 다양한 원인으로 발생하며, 비타민 A 보충 등으로 치료한다.
  • 실명 - 광각막염
    광각막염은 강한 자외선 노출로 각막에 염증이 생기는 질환으로, 통증, 눈물, 눈부심 등의 증상을 보이며, 선글라스 착용 등의 예방과 시원한 찜질 등의 치료가 필요하다.
  • 당뇨병 - 인슐린 저항성
    인슐린 저항성은 인슐린이 제 기능을 못하여 혈당 수치가 상승하는 상태로, 고인슐린혈증을 유발하고 2형 당뇨병과 같은 대사 질환으로 이어질 수 있으며, 유전적 요인, 비만, 운동 부족 등이 주요 원인이고 생활 습관 개선과 약물 치료로 관리한다.
  • 당뇨병 - 인슐린
    인슐린은 췌장에서 생성되는 단백질 호르몬으로 혈당 조절, 단백질 합성, 세포 성장에 관여하며, 당뇨병 치료에 사용되고 지속적인 연구가 진행되고 있다.

2. 증상 및 징후

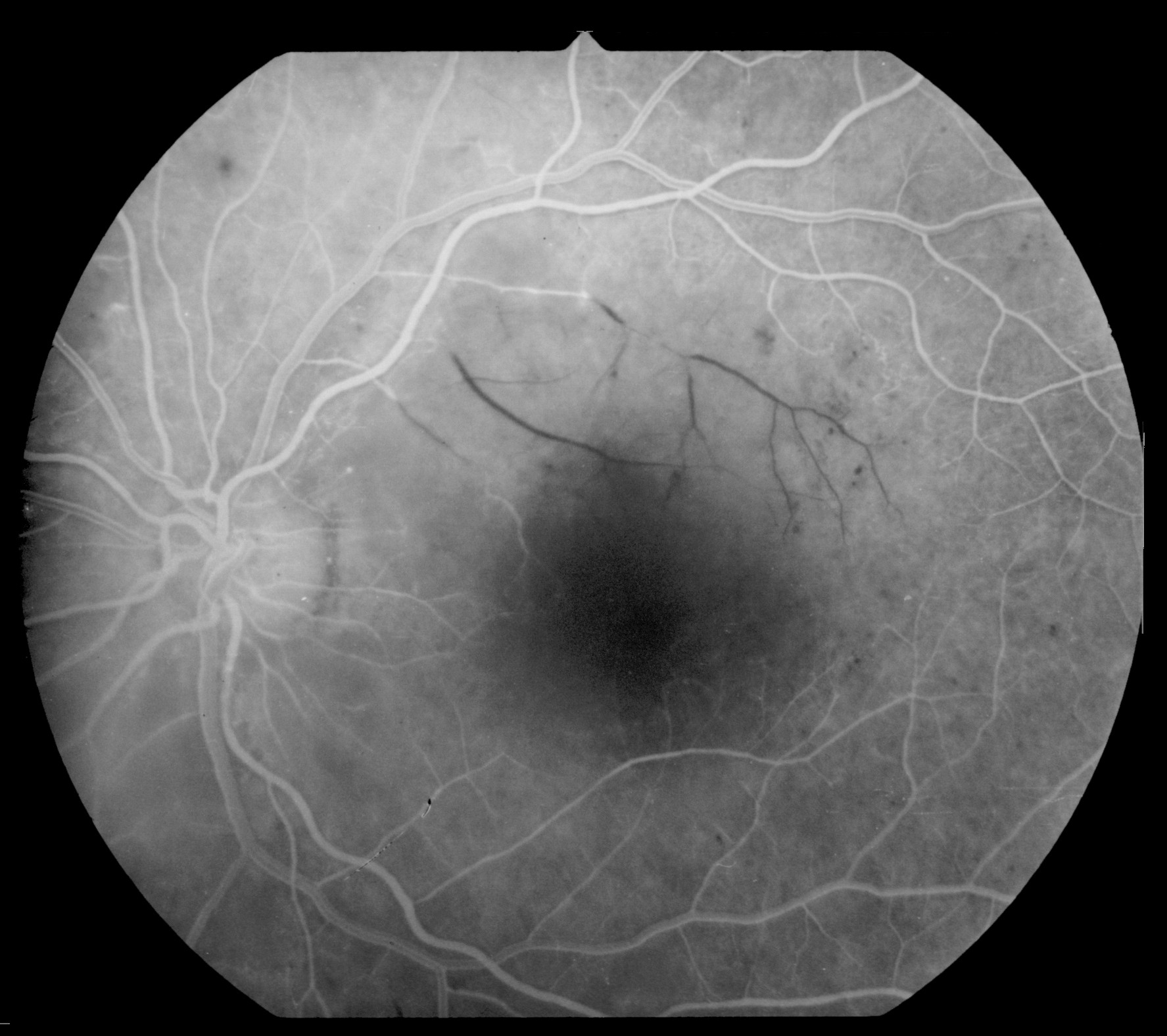
증식성 당뇨병성 망막병증


당뇨병성 망막병증 환자에서 동맥 가지가 폐색되면서 망막세정맥이 비어버린 모습 (플루오레세인 혈관조영술)


당뇨병을 앓는 기간이 수십 년이 지나면 거의 모든 환자에게서 어느 정도의 망막 손상(망막병증)이 나타난다. 초기에는 증상이 없는 경우가 많아 망막 검사를 통해서만 손상을 발견할 수 있으며, 시력에는 큰 변화가 없을 수 있다. 시간이 지나면서 망막 손상이 진행되면 망막 검사에서 변화가 나타나기 시작한다. 처음에는 망막 혈관이 작게 부풀어 오르는 미세동맥류가 생긴다. 이후에는 면화반, 출혈, 지질이 쌓여 생기는 경성삼출물, 망막내 미세혈관이상, 비정상적인 망막 정맥 등 더 큰 규모의 이상 징후가 나타난다.

결국 많은 환자에서 망막 전체에 새로운 혈관(신생혈관)이 자라나는 단계로 진행된다. 이 신생혈관은 약해서 쉽게 터져 출혈을 일으킨다. 출혈량이 적으면 시야에 검은 점이 떠다니는 것처럼 보이는 비문증(부유물)이 생길 수 있고, 출혈량이 많으면 시야가 완전히 가려져 급격한 시력 저하가 발생할 수 있다.[5]

당뇨병성 망막병증 환자의 약 절반 정도는 황반이 붓는 황반부종을 겪게 된다.[5] 황반부종은 망막병증의 어느 단계에서든 발생할 수 있다. 특히 시력에 중요한 역할을 하는 황반 중심부(중심와) 근처에 부종이 생기면, 시야가 흐려지거나 사물이 찌그러져 보이는 변시증, 심하면 시야 중심부의 심각한 시력 상실까지 다양한 정도로 시력에 문제가 생길 수 있다.[6] 황반부종을 치료하지 않고 방치하면, 3~5년 내에 약 30%의 환자에서 시력 문제가 발생한다. 황반부종은 당뇨병성 망막병증 환자의 시력 상실을 유발하는 가장 흔한 원인이다.

혈관 성장, 부종, 흉터가 반복되면 결국 망막박리로 이어질 수 있다. 망막박리가 발생하면 갑자기 눈앞에 부유물이 떠다니거나, 번개가 치는 듯한 섬광을 느끼거나, 시야가 흐려지는 증상이 나타날 수 있다.[7] 심한 경우 신생 혈관 녹내장으로 진행되어 안구 통증, 회복 불가능한 실명, 안구위축 등이 나타나기도 한다.

3. 원인

당뇨병성 망막병증은 고혈당 상태가 장기간 지속되면서 망막의 작은 혈관에 손상이 가해져 발생하는 질환이다.[59] 그러나 혈관 손상이 일어나는 정확한 기전은 아직 완전히 밝혀지지 않았다.

당뇨병성 망막병증이 진행하면 모세혈관의 세포인 혈관주위세포가 소실되고, 망막 혈관의 투과성이 증가하며, 망막으로 가는 혈류량이 변화한다. 이러한 변화는 결국 망막에 공급되는 혈중 산소량을 감소시킨다. 조직에 산소가 부족해지면 망막 전반에 걸쳐 새로운 혈관(신생혈관)이 만들어지는데, 이는 당뇨병성 망막병증의 증식기로 이어진다. 신생혈관은 구조적으로 약해 쉽게 파열되어 눈 안에 출혈을 일으키고, 흉터 조직을 형성하며, 결국 망막이나 황반에 손상을 줄 수 있다.

한편 최근 연구에서는 당뇨병성 망막병증과 염증 사이에 강한 연관성이 있다는 결과가 나왔다.[59]

3. 1. 위험 인자

당뇨병성 망막병증 발생의 주요 위험 인자로는 당뇨병 유병 기간, 혈당 조절 실패 등이 꼽힌다. 고혈압도 위험 인자이지만 앞의 두 요인보다는 영향이 적다.[61]

당뇨병 진단 후 5년이 지나면 제1형 당뇨병 환자의 약 25%에서 어느 정도의 망막병증이 나타나며, 2%는 증식성 당뇨병성 망막병증으로 진행된다. 진단 후 15년이 지나면 이 비율은 각각 80%와 25%로 증가한다. 어린이는 당뇨병 유병 기간과 관계없이 시력을 위협할 정도의 망막병증이 발생하는 경우는 드물지만, 사춘기에는 망막병증 진행이 빨라질 수 있다. 임신 역시 당뇨병성 망막병증 진행을 가속할 수 있으나, 임신당뇨병 환자의 경우 망막병증 위험이 증가하지는 않는다.

만성적인 고혈당(높은 당화혈색소(HbA1c) 수치로 측정)과 심한 혈당 변동폭 모두 당뇨병성 망막병증 발생과 관련이 있다. 그 외에 콩팥병, 이상지질혈증, 높은 체질량지수(BMI), 흡연 등도 당뇨병성 망막병증을 악화시킬 수 있는 요인이다.

제2형 당뇨병 환자의 경우, 당뇨병성 망막병증에 대한 유전적 소인이 확인되었으며, 이는 여러 유전자 변이와 관련된다. 이러한 위험 유전자는 높은 혈당, 저밀도 지질단백질(LDL) 콜레스테롤, 수축기 혈압 등의 유전적 위험 인자와 일부 겹친다.[61] ''VEGFC'' 유전자의 특정 변이는 황반부종 발생 위험 증가와 관련이 있는 것으로 나타났다.

폐쇄성 수면 무호흡증(OSA)은 간헐적인 상기도 폐쇄로 혈액 내 산소 포화도를 낮춰 당뇨병성 안구 질환 발생률을 높이는 것으로 알려져 있다. 폐쇄성 수면 무호흡증을 치료하면 당뇨병 합병증 위험을 줄이는 데 도움이 될 수 있다.[63][14]

한편, 21번 염색체가 일반인보다 많은 다운 증후군 환자는 당뇨병성 망막병증에 거의 걸리지 않는데, 이는 엔도스타틴 농도 증가 때문으로 추정된다.[62][12] 엔도스타틴은 18형 콜라겐 유전자(21번 염색체에 위치)에서 유래하는 단백질로, 신생 혈관 형성을 억제하는 역할을 한다.

4. 병태생리학

당뇨병성 망막병증 발생 과정을 나타낸 그림


당뇨병성 망막병증은 오랫동안 높은 혈당 수치가 망막의 작은 혈관과 신경 세포를 손상시켜 발생하는 질환이다.[15][58] 혈관 손상이 일어나는 정확한 기전은 아직 완전히 밝혀지지 않았다.

질병의 초기 단계에서는 망막동맥이 좁아지면서 망막으로 가는 혈류량이 감소하고(허혈), 이로 인해 망막 안쪽 신경세포의 기능에 문제가 생긴다.[15] 또한, 혈액 속 특정 물질로부터 망막을 보호하는 혈액망막장벽의 기능이 약해져 혈액 성분이 망막의 신경그물로 새어 나오게 된다.[15]

시간이 지나면서 망막 혈관의 기저막이 두꺼워지고 모세혈관이 손상되며 세포가 소실되는데, 특히 모세혈관 벽을 둘러싸는 혈관주위세포와 혈관벽의 평활근세포가 주로 영향을 받는다.[15] 이로 인해 혈류 공급은 더욱 어려워지고 진행성 허혈 상태가 된다.[15] 또한, 모세혈관 벽이 풍선처럼 부풀어 오르는 미세동맥류가 생기기도 한다.[15] 당뇨병성 망막병증이 진행됨에 따라 망막 혈관의 투과성도 증가한다.

이러한 변화들은 망막에 전달되는 산소량을 감소시키고, 조직의 산소 부족 상태는 망막 전반에 걸쳐 비정상적인 신생혈관의 생성을 유발하여 질병의 증식 단계로 이어진다. 새로 생긴 혈관들은 구조가 약해 쉽게 터지면서 눈 안에 출혈을 일으키고, 흉터 조직을 형성하며, 결국 망막이나 황반에 심각한 손상을 줄 수 있다. 반복되는 혈관 성장, 부종, 흉터 형성은 망막박리로 이어질 수도 있다.[60] 또한, 망막의 신경세포와 신경아교세포의 기능 이상과 퇴행도 점차 심화된다.[15][16]

최근 연구들은 당뇨병성 망막병증의 발생 및 진행에 염증이 중요한 역할을 한다는 것을 보여준다.[59][19][20] 다른 연구에서는 혈관주위세포의 사멸이 혈중 포도당에 의한 특정 신호 전달 경로(단백질 키나아제 C, 미토겐 활성화 단백질 키나아제, 혈소판 유래 성장 인자 수용체)의 변화와 관련 있으며, 이는 세포 생존 신호 억제를 통해 세포 자멸사를 유발한다고 제시한다.[17] 또한, 당뇨병 환자의 망막 조직에 과도한 소르비톨이 축적되는 것[18]이나 지질 과산화[21] 역시 병의 진행에 관여할 수 있다. 유전적 요인도 관련이 있을 수 있으며, 당뇨병성 망막병증은 포도당, 저밀도 지단백 콜레스테롤, 수축기 혈압 수치와 유사한 유전적 소인을 공유하는 것으로 나타났다.[11]

5. 진단 및 분류

당뇨병성 망막병증은 주로 검안경 검사를 이용한 망막 검사를 통해 진단한다. 안저 사진 이미지는 질병의 단계를 결정하는 주요 자료가 되며[47], 이를 통해 망막의 상태를 직접 관찰한다.

진단을 보조하고 병의 심각성을 평가하기 위해 추가적인 검사가 사용될 수 있다. 형광 안저 혈관 조영술은 망막 혈관의 누출이나 막힘, 신생 혈관 유무 등을 확인하여 망막병증의 범위와 심각성을 평가하고 치료 계획을 세우는 데 도움을 준다.[47] 광학 간섭 단층 촬영법(OCT)은 망막, 특히 황반부의 단층 구조를 촬영하여 황반 부종의 정도를 정량적으로 평가하고 치료 경과를 관찰하는 데 유용하다.[47]

당뇨병성 망막병증의 심각도 분류에는 여러 기준이 사용된다. 미국 안과학회(AAO)는 다음과 같이 5단계로 분류한다.

단계명칭주요 특징
1단계명백한 망막병증 없음망막 검사 상 이상 소견 없음
2단계경도 비증식성 당뇨병성 망막병증 (NPDR)미세 동맥류만 관찰됨
3단계중등도 비증식성 당뇨병성 망막병증 (NPDR)경도 NPDR보다 심하지만, 중증 NPDR 기준에는 미치지 못함
4단계중증 비증식성 당뇨병성 망막병증 (NPDR)다음 중 하나 이상 해당:
* 4개 사분면 각각에 20개 이상의 망막 출혈
* 2개 이상의 사분면에서 정맥 꾸불거림 (venous beading)
* 1개 이상의 사분면에서 뚜렷한 망막 내 미세 혈관 이상 (IRMA)
5단계증식성 당뇨병성 망막병증 (PDR)망막 또는 시신경 유두에 신생 혈관 형성, 유리체 출혈 또는 전망막 출혈 발생



또한, 황반 부종은 별도로 분류하며, OCT 검사가 평가에 자주 활용된다.


  • 명백한 황반 부종 없음: 황반 부종 소견이 없음.
  • 명백한 황반 부종 있음:
  • 경도: 황반 중심에서 멀리 떨어진 망막 비후 또는 경성 삼출물.
  • 중등도: 황반 중심 근처의 망막 비후 또는 경성 삼출물.
  • 중증: 황반 중심을 침범하는 망막 비후 또는 경성 삼출물.


이 외에도 후쿠다 분류, 스콧 분류, ETDRS(Early Treatment Diabetic Retinopathy Study) 분류 등이 사용된다. 후쿠다 분류에서는 A0(정상 또는 경계) 이외의 경우 당뇨병성 망막병증으로 진단할 수 있다. 병의 진행 상태에 따라 단순 망막병증, 전증식성 망막병증, 증식성 망막병증으로 나누기도 한다.

안저 사진 이미지를 분석하여 진단하는 과정은 시간이 많이 소요되고 검사자의 경험에 따라 결과가 달라질 수 있다는 단점이 있다.[48] 이러한 문제를 해결하기 위해 안저 이미지에서 혈관 및 이상 패턴 정보를 자동으로 추출하고 분석하는 컴퓨터 보조 진단 시스템 개발 연구가 진행되고 있다.[49]


5. 1. 선별 검사

당뇨병성 망막병증은 초기 증상이 거의 없어, 많은 환자들이 안과를 방문하기 전까지는 자신이 이 질환을 앓고 있다는 사실을 인지하지 못한다. 따라서 미국 당뇨병 협회(ADA)와 국제 안과 위원회(ICO)는 당뇨병 환자(단, 임신성 당뇨병 환자는 제외)에게 당뇨병성 망막병증 발견을 위한 정기적인 눈 검사를 권장한다.

ADA는 제2형 당뇨병 환자의 경우 진단 시점에, 제1형 당뇨병 환자의 경우 발병 후 5년 이내에 포괄적인 눈 검사를 받을 것을 권고한다. 또한 ADA는 임신한 당뇨병 여성에게 임신 전, 각 삼 분기, 그리고 출산 후 1년 동안 눈 검사를 권장한다. ICO는 당뇨병 환자를 위한 눈 검사에 시력 검사와 망막 검사가 포함되어야 하며, 망막 검사는 검안경 검사 또는 망막 사진 촬영을 통해 실시할 것을 권장한다.

아이슬란드, 아일랜드, 영국은 전국적인 당뇨병성 망막병증 검진 프로그램을 운영하는 대표적인 국가들이며, 유럽 본토, 아시아 일부 지역, 보츠와나 등에서도 지역 단위의 검진 프로그램이 활발히 시행되고 있다. 특히 영국에서는 당뇨병성 망막병증 검진이 당뇨병 환자 관리의 표준적인 부분으로 자리 잡았다.[8] 당뇨병 환자가 첫 검진에서 정상 판정을 받더라도, 이후 매년 추가 검진을 받는 것이 권장된다.[9] 이러한 검진 프로그램에는 원격 안과 진료 기술이 활용되기도 한다.[10]

주요 검사 방법은 다음과 같다.

  • 안저 검사: 망막 질환을 확인하는 기본적인 검사이다. 당뇨병 환자에게는 정기적인 안저 검사가 권장된다. 일본 당뇨병 안과학회는 정기적인 안과 방문을 독려하기 위해 '당뇨병 안 수첩'을 배포하기도 한다.
  • 플루오레세인 형광 안저 조영: 플루오레세인이라는 형광 물질을 정맥에 주사한 후 안저를 촬영하는 검사이다. 이 검사는 망막의 무혈관 영역이나 신생 혈관을 확인하고, 병의 진행 상태를 파악하며 치료 방법을 결정하는 데 중요한 정보를 제공한다. 특히 망막 광응고술을 시행할 때 이 검사 결과를 참고하는 경우가 많다.


안과 의사는 주로 간접 안저경을 사용하여 눈 속 망막 상태를 직접 관찰한다. 필요한 경우, 안저 혈관의 누출 여부나 무혈관 영역을 더 자세히 확인하고 레이저 광응고 치료의 정확한 위치를 결정하기 위해 형광 망막 조영 검사를 추가로 실시할 수 있다. 안저 검사를 용이하게 하기 위해 동공을 확장시키는 점안약을 사용하는 경우가 많은데, 이를 '산동'이라고 한다. 산동 상태에서는 눈의 초점 조절 능력이 일시적으로 저하되므로, 검사 당일에는 자동차 운전이 어려울 수 있어 대중교통 이용 등 다른 이동 수단을 고려하는 것이 좋다.

6. 관리

당뇨병성 망막병증의 관리는 기본적으로 혈당, 혈압, 혈중 콜레스테롤을 잘 조절하여 병의 진행을 늦추는 것을 목표로 한다. 현재 사용되는 여러 치료법을 통해 중증의 시력 상실을 90%까지 예방할 수 있다.[66][22] 하지만 이러한 치료법들은 추가적인 시력 손실을 늦추거나 막는 데 효과적일 뿐, 당뇨병성 망막병증 자체를 완치시키는 것은 아니다.[67][23]

경도 내지 중등도 비증식성 당뇨병성 망막병증 환자의 경우, 증식성 망막병증이나 황반 부종 발생 위험이 증가하므로 6~12개월마다 정기적인 망막 검사를 받는 것이 권장된다.

일반적인 치료 방법으로는 항혈관내피성장인자(Anti-VEGF) 주사, 스테로이드 주사, 범망막 레이저 광응고술, 유리체절제술 등이 있다.[66][22]

=== 항혈관내피성장인자(Anti-VEGF) 주사 ===

항혈관내피성장인자(Anti-VEGF) 약물을 눈의 유리체 내에 직접 주사하는 치료법이다. 이 약물은 망막에 비정상적인 신생혈관이 자라는 것을 억제하고 황반부종을 감소시키는 효과가 있다. 특히 황반 부종이 있는 환자에게서 시력이 눈에 띄게 좋아지는 경우가 많다.[67][23] 시력 상실 위험이 가장 높은 환자, 즉 황반 중심부 근처에 부종이 있는 환자에게 효과적이다.

주요 약물로는 아플리버셉트, 베바시주맙, 라니비주맙 등이 있다. 널리 정해진 투여 일정은 없으나, 일반적으로 치료 첫해에는 더 자주 주사를 맞고 이후에는 상태를 유지하기 위한 빈도로 조절한다. 아플리버셉트는 1년 후 시력 개선 효과 면에서 베바시주맙이나 라니비주맙보다 유리할 수 있지만, 장기적인 이점은 아직 불분명하다.[33] 항-VEGF 주사는 치료받은 눈의 약 절반에서 당뇨병성 망막병증의 진행을 늦출 수 있으나, 이것이 장기적인 시력 개선으로 이어지는지는 아직 알려지지 않았다. 유리체 출혈이 있는 경우에는 항-VEGF 주사 단독보다 범망막 레이저 광응고술과 병행한 유리체 절제술이 시력 회복에 더 효과적일 수 있다.[34]

황반 부종이 있지만 시력 상실이 없는 환자는 치료 효과를 보기 어려우므로, 시력이 20/30 이하로 떨어질 때까지 치료를 보류하는 것이 권장된다.

=== 스테로이드 주사 ===

스테로이드 제제인 트리암시놀론을 유리체 내에 주사하여 황반부종을 감소시키는 치료법이다. 스테로이드는 염증을 줄이고 혈관 누출을 막아 황반의 두께를 줄여 시력 개선을 유도할 수 있다.[32] 트리아암시놀론의 효과는 영구적이지 않으며 약 3개월 정도 지속될 수 있어, 효과 유지를 위해 반복적인 주사가 필요하다. 특히 백내장 수술을 이미 받은 눈에서 더 좋은 결과를 보이는 경향이 있다. 부작용으로는 백내장 발생 또는 악화, 스테로이드 유발성 녹내장, 안구내염(눈 속 감염) 등이 있을 수 있다.[32]

=== 레이저 광응고술 ===

안저에 당뇨병성 망막병증에 대한 산재된 레이저 응고술 수술을 보여주는 이미지


레이저를 이용하여 망막의 특정 부위를 응고시키는 치료법이다. 주로 두 가지 목적으로 사용된다. 첫째는 황반부종 치료이며[27], 둘째는 신생혈관 생성을 억제하기 위한 범망막 광응고술(PRP, Panretinal Photocoagulation)이다. 범망막 광응고술은 증식성 또는 중증 비증식성 당뇨병성 망막병증 환자에게 시행되며, 망막의 산소 요구량을 줄여 허혈 상태를 개선하고 비정상적인 신생혈관의 발생 및 증식을 억제하는 것을 목표로 한다.

시술 시 약 1,600~2,000개의 레이저 조사점을 망막 주변부에 만들어 신생혈관을 파괴하거나 생성을 억제한다. 이를 통해 심각한 시력 상실 위험을 50%까지 줄일 수 있는 것으로 알려져 있다.[28] 시술은 동공을 확장시킨 후 점안 마취를 하고 진행하며, 때로는 눈 뒤쪽 국소 마취를 추가하기도 한다. 환자는 레이저 기계를 마주 보고 앉아 의사가 특수 렌즈를 눈에 대고 레이저를 조사하는 동안 빛의 섬광을 보게 되며, 약간의 따끔거리는 불편감을 느낄 수 있다.

레이저 치료는 망막 조직의 일부 손상을 유발할 수 있으므로 신중하게 적용되어야 한다.[67][23] 시술 후에는 주변 시야가 좁아지거나 야간 시력, 색각이 저하될 수 있지만, 환자가 크게 느끼지 못하는 경우가 많다. 이 치료는 중심 시력을 보존하는 데 중점을 둔다. 시술 후 몇 시간 동안 시야가 흐리고 아이스크림 두통과 유사한 통증이 있을 수 있다. 항-VEGF 치료로 효과를 보지 못한 경우 대안으로 고려될 수 있다.

=== 유리체절제술 ===

유리체절제술은 눈 속의 유리체(vitreous humor)를 제거하는 수술이다. 주로 유리체 내에 심한 출혈이 발생하여 시야가 가려지거나, 망막 표면에 생긴 증식막(섬유 혈관 조직)이 망막을 당겨 망막 박리의 위험이 있을 때 시행된다. 혼탁해진 유리체와 출혈, 증식막을 제거하고 그 공간을 생리 식염수나 특수 가스, 실리콘 기름 등으로 채워 넣는다.

연구에 따르면, 심한 유리체 출혈 발생 후 가능한 한 빨리 유리체절제술을 받는 것이 시력 보존에 더 유리할 수 있으며, 특히 인슐린 의존성 당뇨병 환자에게 조기 수술이 효과적일 수 있다. 수술은 전신 마취 또는 국소 마취 하에 진행되며, 눈의 흰자위(공막)에 작은 절개를 내고 미세 수술 기구를 삽입하여 유리체를 제거한다.

수술 후에는 감염 예방을 위해 항생제 안약을 사용하고, 눈을 보호하기 위해 며칠 또는 몇 주간 안대를 착용해야 할 수 있다. 유리체절제술 전후에 항-VEGF 약물을 투여하면 수술 후 출혈 위험을 줄이는 데 도움이 될 수 있다.[35] 유리체절제술은 레이저 광응고술 등 다른 치료와 함께 시행되는 경우가 많다.

=== 기타 약물 치료 ===

페노피브레이트는 원래 고지혈증 치료에 사용되는 약물이지만, 당뇨병성 망막병증의 진행을 늦추는 효과에 대한 연구가 이루어졌다. 제2형 당뇨병 환자에서 페노피브레이트가 임상적으로 의미 있는 황반 부종(DME)의 진행을 막지는 못할 수 있다는 일부 증거가 있다.[4] 그러나 이미 망막병증이 있는 제2형 당뇨병 환자에게는 페노피브레이트가 망막 손상의 진행을 줄이는 데 더 효과적일 수 있다는 증거도 있다.[4]

7. 역학

전 세계적으로 당뇨병 환자의 약 35%가 어떤 형태로든 당뇨병성 망막병증을 앓고 있으며, 이 중 약 10%는 어느 정도의 시력 상실을 경험한다. 당뇨병성 망막병증은 특히 제1형 당뇨병 환자에게 흔하게 나타나는데, 진단 후 시간이 경과함에 따라 발병률이 크게 증가한다. 제1형 당뇨병 환자의 경우, 진단 5년 후에는 25%, 10년 후에는 60%, 15년 후에는 약 80%가 당뇨병성 망막병증을 앓게 된다. 제2형 당뇨병 환자 역시 진단 시점에서 약 20%가 이미 망막병증 소견을 보이며, 당뇨병 발병 후 20년 이내에는 제1형 환자의 거의 전부(100%)와 제2형 환자의 60%에서 망막병증이 발병하는 것으로 알려져 있다. 망막병증의 발생 및 진행 가능성은 혈당 조절 상태와 밀접한 관련이 있다. 평균적으로 전체 당뇨병 환자의 약 7%는 증식성 당뇨병성 망막병증으로, 또 다른 7%는 당뇨병성 황반부종으로 진행될 수 있다. 당뇨병성 망막병증은 20세에서 74세 사이 인구에서 시력 상실의 주요 원인 중 하나이다.

1990년부터 2015년까지 전 세계적으로 당뇨병성 망막병증으로 인한 부담은 크게 증가했다. 이 기간 동안 시력 손상을 동반한 환자 수는 140만 명에서 260만 명으로, 실명에 이른 환자 수는 20만 명에서 40만 명으로 급증했다. 이러한 증가는 특히 저소득 및 중간 소득 국가에서 제2형 당뇨병 환자가 늘어난 것과 관련이 깊은 것으로 분석된다.

대한민국에서 당뇨병성 망막병증은 성인 실명 원인 1위를 차지하는 심각한 문제이다. 2022년 건강보험심사평가원 자료에 따르면, 당뇨병 유병 기간이 길수록 당뇨병성 망막병증의 유병률도 높아지는 경향을 보인다.

당뇨병 유병 기간당뇨병성 망막병증 유병률
5년 이하16.1%
6년 ~ 10년 이하20.9%
11년 ~ 15년46.2%
15년 초과66.7%



또한, 혈당 조절 상태를 나타내는 당화혈색소 수치가 1% 상승할 때마다 당뇨병성 망막병증의 발병 위험은 1.4배 증가하는 것으로 나타났다. 그러나 이러한 심각성에도 불구하고 정기적인 안저검사를 받는 당뇨병 환자는 전체의 46%에 불과하여, 조기 발견 및 관리에 어려움이 있다.[68]

8. 연구 동향

당뇨병성 망막병증의 치료법 개선을 위해 여러 대규모 다기관 무작위 임상 시험이 진행되어 왔다. 대표적으로 당뇨병성 망막병증 조기 치료 연구(ETDRS), 당뇨병성 망막병증 유리체 절제술 연구(DRVS), 당뇨병성 망막병증 연구(DRS), 당뇨병 관리 및 합병증 시험(DCCT), 영국 전향적 당뇨병 연구(UKPDS), 그리고 당뇨병성 망막병증 임상 연구 네트워크(DRCR.net)의 프로토콜 I, S, T 등이 있다.

새로운 치료법 개발을 위한 다양한 연구가 시도되고 있으며, 주요 동향은 다음과 같다.


  • 광 치료: 2016년에는 수면 중 눈꺼풀을 통해 녹색 빛을 전달하는 마스크 형태의 의료 기기 개발이 진행되었다.[36][37] 이 마스크에서 나오는 빛은 망막의 간상 세포가 암순응하는 것을 막아 산소 요구량을 줄이고, 이를 통해 당뇨병성 망막병증의 원인인 신생 혈관 형성을 억제할 것으로 기대되었다.[36] 당시 대규모 임상 시험이 진행 중이었으나,[36] 2018년 발표된 결과에 따르면 이 마스크 사용은 장기적인 치료 효과가 없는 것으로 나타났다.[38]

  • C-펩타이드 치료: C-펩타이드는 혈관 변성에 따른 당뇨병 합병증 치료에 있어 유망한 초기 결과를 보여주었다.[39] Creative Peptides,[40] 일라이 릴리,[41] 그리고 Cebix[42] 등 여러 회사에서 C-펩타이드 제품에 대한 약물 개발 프로그램을 진행했다. 그러나 유일하게 임상 시험을 진행하던 Cebix는 2014년 12월, 2b상 임상 시험에서 C-펩타이드가 위약 대비 유의미한 효과 차이를 보이지 못하자 해당 프로그램을 종료하고 사업을 중단했다.[43][44]

  • 줄기세포 치료: 환자 자신의 골수에서 추출한 줄기세포를 손상된 망막 부위에 주입하여 혈관계를 재생시키려는 연구가 진행 중이다. 브라질, 이란, 미국 등의 의료 센터에서 관련 임상 시험이 진행 중이거나 준비 단계에 있다.[45]

  • 혈압 조절: 코크란 연합은 당뇨병 환자의 혈압 조절 또는 강하가 당뇨병성 망막병증에 미치는 영향을 평가하기 위해 29건의 무작위 대조 연구를 검토했다.[46] 분석 결과, 혈압을 조절하거나 낮추는 중재는 최대 4~5년 동안 당뇨병성 망막병증 발생을 예방하는 데 효과가 있는 것으로 나타났다. 하지만 이러한 중재가 이미 발병한 망막병증의 진행을 늦추거나 시력을 보존하는 효과, 그리고 부작용, 삶의 질, 비용 등에 미치는 영향에 대해서는 명확한 증거가 부족했다.[46]

  • 안저 이미지 분석: 당뇨병성 망막병증은 주로 검안경 검사로 촬영한 망막 이미지의 이상 유무를 판독하여 진단한다. 색상 안저 사진은 질병의 단계를 결정하는 데 사용되며, 형광 안저 혈관 조영술은 치료 계획 수립에 필요한 망막병증의 범위를 평가하는 데 도움을 준다. 광학 단층 촬영법(OCT)은 망막 부종의 심각성과 치료 반응을 평가하는 데 활용된다.[47] 안저 사진 이미지는 진단의 핵심 자료이지만, 이를 수동으로 분석하는 것은 시간이 많이 걸리고 판독자의 경험에 따라 진단 정확도가 달라질 수 있다는 한계가 있다.[48] 이러한 문제를 해결하기 위해, 과학자들은 안저 이미지에서 혈관 및 비정상 패턴 정보를 자동으로 추출하고 분석하는 컴퓨터 보조 진단(CAD) 시스템 개발 연구를 진행하고 있다.[49]

9. 기타


  • 후쿠다 분류 B기에 해당할 경우, 운동 요법은 유리체 출혈을 유발하여 시력이 크게 떨어질 수 있으므로 금기이다.
  • 또한, 후쿠다 분류 B기에 해당하는 경우 급격한 혈당 개선이 오히려 당뇨병성 망막병증을 악화시킬 수 있다.[53][54]

참조

[1] 웹사이트 Retinopathy | Definition of Retinopathy by Oxford Dictionary https://web.archive.[...]
[2] 웹사이트 Diabetic retinopathy - Diagnosis and treatment https://www.mayoclin[...] Mayo Clinic
[3] 논문 Retinopathy in diabetes American Diabetes Association 2004-01
[4] 논문 Fenofibrate for diabetic retinopathy 2023-06
[5] 웹사이트 Vision Loss https://www.cdc.gov/[...] Centers for Disease Control and Prevention 2021-05-07
[6] 웹사이트 Macular Edema https://www.nei.nih.[...] National Eye Institute 2022-08-05
[7] 웹사이트 Retinal Detachment https://www.diabetes[...] Diabetes.co.uk 2022-06-10
[8] 웹사이트 Diabetic eye screening – NHS Choices http://www.nhs.uk/Co[...] NHS Choices 2016-07-12
[9] 웹사이트 Diabetic eye screening https://www.nhs.uk/c[...] 2017-10-18
[10] 논문 Evidence for Telemedicine for Diabetic Retinal Disease 2016-10-17
[11] 논문 Genome-wide polygenic risk score for retinopathy of type 2 diabetes 2021-05
[12] 논문 Role of endogenous angiogenesis inhibitors in Down syndrome 2009-03
[13] 논문 Retinopathy is reduced during experimental diabetes in a mouse model of outer retinal degeneration 2006-12
[14] 뉴스 Diabetes and Vision https://www.news-med[...] 2018-04-04
[15] 논문 Pathophysiology and Pathogenesis of Diabetic Retinopathy [internet] http://www.diapedia.[...] 2013-08-13
[16] 논문 Understanding diabetic retinopathy
[17] 논문 Activation of PKC-delta and SHP-1 by hyperglycemia causes vascular cell apoptosis and diabetic retinopathy 2009-11
[18] 논문 Pathophysiology of diabetic retinopathy 2013
[19] 논문 Proinflammatory Cytokines Trigger the Onset of Retinal Abnormalities and Metabolic Dysregulation in a Hyperglycemic Mouse Model 2023-02-28
[20] 논문 Proinflammatory cytokines trigger biochemical and neurochemical changes in mouse retinal explants exposed to hyperglycemic conditions 2020
[21] 논문 Lipid peroxidation: pathophysiological and pharmacological implications in the eye 2013-12
[22] 논문 Anti-vascular endothelial growth factor for proliferative diabetic retinopathy 2023-03
[23] 논문 Management paradigms for diabetic macular edema 2014-03
[24] 논문 Fenofibrate for the prevention of progression of non-proliferative diabetic retinopathy: review, consensus recommendations and guidance for clinical practice 2022-12-18
[25] 웹사이트 Trial: Fenofibrate Slows Diabetic Retinopathy Progression https://www.medscape[...]
[26] 논문 Serum autoantibodies against hexokinase 1 manifest secondary to diabetic macular edema onset 2024-06
[27] 논문 Monotherapy laser photocoagulation for diabetic macular oedema 2018-10
[28] 논문 Different lasers and techniques for proliferative diabetic retinopathy 2018-03
[29] 서적 Evidence Based Eye Care Lippincott Williams & Wilkins
[30] 논문 Comparison of pain experience and time required for pre-planned navigated peripheral laser versus conventional multispot laser in the treatment of diabetic retinopathy 2020-05
[31] 논문 Comparison of conventional pattern and novel navigated panretinal photocoagulation in proliferative diabetic retinopathy 2014-05
[32] 논문 Intravitreal steroids for macular edema in diabetes 2020-11
[33] 논문 Anti-vascular endothelial growth factor for diabetic macular oedema: a network meta-analysis 2023-06
[34] 논문 Effect of Intravitreous Aflibercept vs Vitrectomy With Panretinal Photocoagulation on Visual Acuity in Patients With Vitreous Hemorrhage From Proliferative Diabetic Retinopathy: A Randomized Clinical Trial 2020-12
[35] 논문 Anti-vascular endothelial growth factors in combination with vitrectomy for complications of proliferative diabetic retinopathy 2023-05
[36] 논문 Spare the rods and spoil the retina: revisited 2016-02
[37] 웹사이트 Noctura 400 Sleep Mask for diabetic retinopathy https://www.io.nihr.[...] 2022-02-15
[38] 웹사이트 No "long-term therapeutic benefit" from £250 mask https://www.aop.org.[...] 2022-02-15
[39] 논문 C-peptide replacement therapy as an emerging strategy for preventing diabetic vasculopathy 2014-11
[40] 웹사이트 C-peptide - Creative Peptides - http://adisinsight.s[...] AdisInsight 2016-10-22
[41] 웹사이트 C-peptide – Eli Lilly http://adisinsight.s[...] AdisInsight 2016-10-22
[42] 웹사이트 C-peptide long-acting – Cebix http://adisinsight.s[...] AdisInsight 2016-10-22
[43] 뉴스 Cebix Shuts Down Following Mid-Stage Trial of C-Peptide Drug http://www.xconomy.c[...] 2015-02-23
[44] 뉴스 Cebix hangs it up after raising $50M for diabetes drug http://www.fiercebio[...] 2015-02-24
[45] 웹사이트 Stem Cell Therapy for Diabetic Retinopathy http://isopt.net/wp-[...] Cedars-Sinai Medical Center, Regenerative Medicine Institute, Los Angeles, CA, USA Medicine, David Geffen School of Medicine at UCLA, Los Angeles, CA, USA 2014-12-30
[46] 논문 Blood pressure control for diabetic retinopathy 2023-03
[47] 뉴스 Diabetic Retinopathy http://www.merckmanu[...] 2016-11-13
[48] 논문 Review on: Blood Vessel Extraction and Eye Retinopathy Detection
[49] 서적 2014 5th European Workshop on Visual Information Processing (EUVIP) 2014-12-01
[50] 웹사이트 A New Treatment for Diabetic Retinopathy http://www.diabetesc[...] 2015-03-19
[51] 웹사이트 生体分子に起こる加齢変化 05-異常たんぱく質はなぜ増えるのか? http://www.mnc.toho-[...]
[52] 논문 3.糖尿病網膜症の内科的治療 https://doi.org/10.2[...] 日本内科学会 2000
[53] 논문 Intensive insulin therapy prevents the progression of diabetic microvascular complications in Japanese patients with non-insulin-dependent diabetes mellitus: a randomized prospective 6-year study
[54] 웹사이트 5. Kumamoto study-糖尿病の大規模臨床研究 http://www.dm-net.co[...] 2008-01
[55] 웹인용 Diabetic retinopathy - Diagnosis and treatment https://www.mayoclin[...] Mayo Clinic
[56] 저널 Retinopathy in diabetes American Diabetes Association 2004-01
[57] 웹인용 Diabetic retinopathy http://www.diabetes.[...] 2016-04-22
[58] 웹인용 Vision Loss https://www.cdc.gov/[...] Centers for Disease Control and Prevention 2021-05-07
[59] 웹인용 Macular Edema https://www.nei.nih.[...] National Eye Institute 2022-08-05
[60] 웹인용 Retinal Detachment https://www.diabetes[...] Diabetes.co.uk 2022-06-10
[61] 저널 Genome-wide polygenic risk score for retinopathy of type 2 diabetes 2021-05
[62] 저널 Role of endogenous angiogenesis inhibitors in Down syndrome 2009-03
[63] 뉴스 Diabetes and Vision https://www.news-med[...] 2018-04-10
[64] 저널 Pathophysiology and Pathogenesis of Diabetic Retinopathy [internet] http://www.diapedia.[...] 2013-08-13
[65] 저널 Understanding diabetic retinopathy
[66] 저널 Anti-vascular endothelial growth factor for proliferative diabetic retinopathy 2023-03-20
[67] 저널 Management paradigms for diabetic macular edema 2014-03
[68] 웹인용 보도자료 < HIRA 소식 < 기관소식 < 건강보험심사평가원 https://www.hira.or.[...] 2024-02-09



본 사이트는 AI가 위키백과와 뉴스 기사,정부 간행물,학술 논문등을 바탕으로 정보를 가공하여 제공하는 백과사전형 서비스입니다.
모든 문서는 AI에 의해 자동 생성되며, CC BY-SA 4.0 라이선스에 따라 이용할 수 있습니다.
하지만, 위키백과나 뉴스 기사 자체에 오류, 부정확한 정보, 또는 가짜 뉴스가 포함될 수 있으며, AI는 이러한 내용을 완벽하게 걸러내지 못할 수 있습니다.
따라서 제공되는 정보에 일부 오류나 편향이 있을 수 있으므로, 중요한 정보는 반드시 다른 출처를 통해 교차 검증하시기 바랍니다.

문의하기 : help@durumis.com